Get your teeth straightened quickly, yet effectively with QuickStraightTeeth™ in Sale – book your consultation today!
QuickStraightTeeth™ from £166.66 per month (based on 12 months interest-free finance).

Consultation and planning
During your detailed consultation, we ask you about your ideal smile and examine your teeth, ensuring you are best suited for QuickStraightTeeth. ™ From the thorough consultation, we can determine whether you are suitable for fixed, or removable braces. We take digital scans and images of your teeth to plan your predictable and fast treatment carefully. These will be sent to QuickStraightTeeth. ™
Your treatment
The clear brackets and tooth-coloured wires are placed on your teeth to gently move them into a new, straighter position. We supervise your treatment to ensure you remain on track for an incredible result. If you are using the clear aligners, you will be given a series of them, which need to be worn for a few weeks, and then move on to the next one. They will gently move your teeth into the correct position.
Your new straighter smile
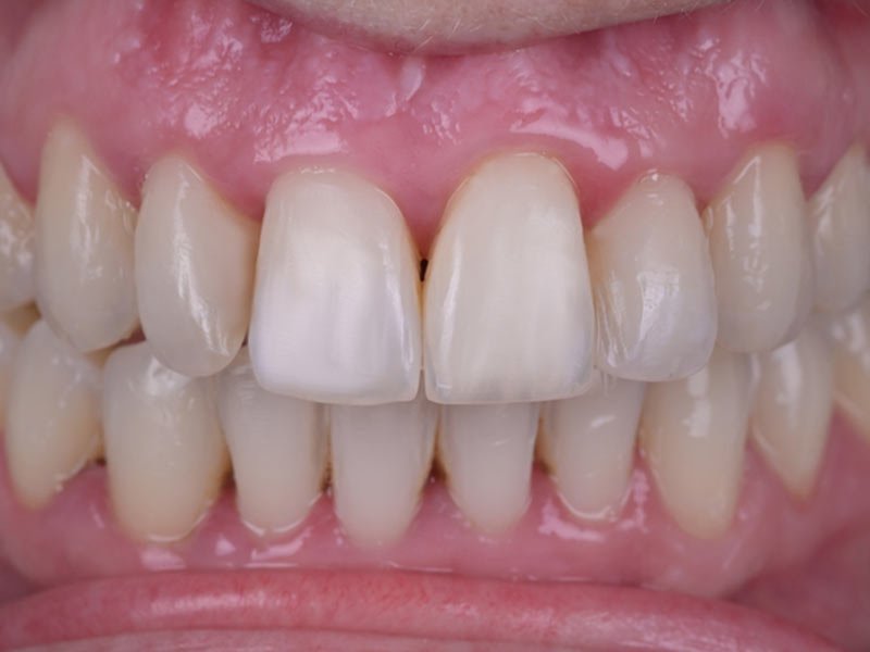
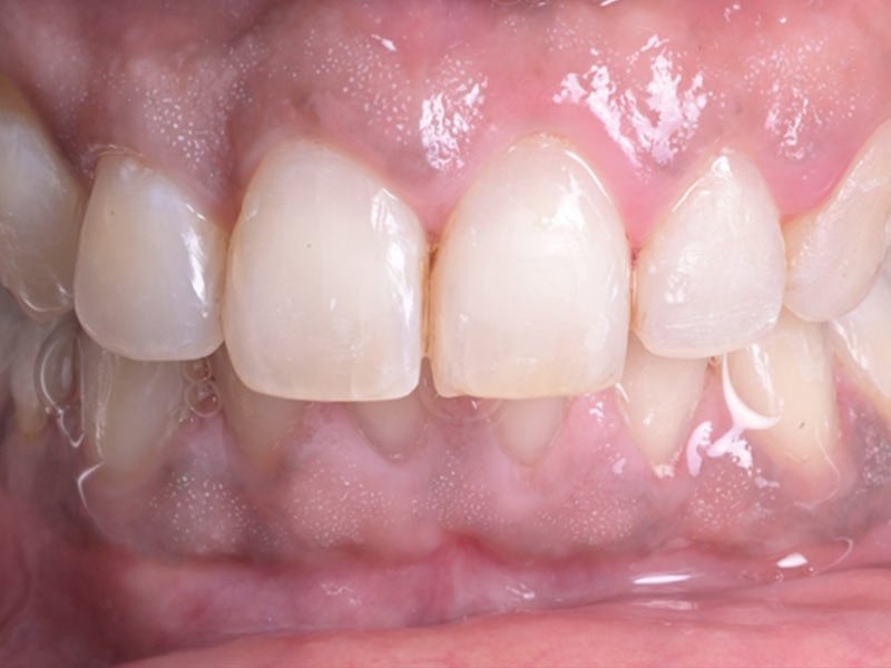
Whether you have fixed or removable clear braces, you will still have beautifully straight teeth in as little as 4 months. Our braces look great, feel comfortable, and work quickly to give you a beautiful straight new smile. As with all orthodontic treatment, you will need to wear a retainer to stop your teeth from moving back to their original position.

We want our patients to be able to receive the best possible treatment and don’t want costs to be a hindrance in getting the dental care they need. That’s why we have teamed up with finance provider Tabeo, providing a chance to spread the costs of your QuickStraightTeeth™ treatment. Please talk to a member of the team if you’d like to know more.
Terms and conditions apply, please get in touch for more information.
Get in touch Online calculatorThe QuickStraightTeeth™ orthodontic system uses either fixed or removable clear braces to align your front 6-8 teeth if they have mild to moderate issues. The treatment is discreet, using only clear braces and tooth-coloured wires, making them virtually invisible. This makes them an appealing choice for those who wish to correct their dental misalignments without the noticeable appearance of metal brackets and wires.
Compared to traditional braces, the QuickStraightTeeth™ system is fast. Treatment times take anywhere between 4 and 24 weeks, depending on the complexity of the case. Due to low-cost laboratory fees and quick treatment times, it’s also one of the most cost-effective systems on the market.


Associate Dentist
GDC – 277250
Kishan initially gained a degree in Pharmacy at the University of Manchester in 2010. After having worked as a community pharmacist for several years, he qualified as a dentist from the University of Central Lancashire in 2018.
Kishan currently works in multiple practices and lectures trainee dentists in prescribing medication. He completed his two-year postgraduate diploma in Advanced Aesthetic Dentistry with Elevate, allowing him to treat aesthetically complex cases. He is an accredited Quick Straight Teeth provider, offering both fixed braces and clear aligners.
He has a passion for digital dentistry and keeps updated with the rapidly changing world of dentistry in providing routine and advanced care.
Outside of dentistry, Kishan enjoys travelling, cooking, and keeping fit at the gym.
Read more


Like any tooth movement procedure, QuickStraightTeeth™ involves a calculated risk. However, we take every precaution to ensure patient safety. If, at any point during the process, we have any concerns about your teeth, we will offer you a consultation for further evaluation and peace of mind. With over 5,000 successful treatments completed to date, you can be confident in choosing QuickStraightTeeth™.
It will take a short period of time to adjust to wearing the brace. There may be a little discomfort when the braces are initially fitted but this can be managed with over-the-counter painkillers.
Like with traditional braces, some people might experience a short adjustment period when starting QuickStraightTeeth™ due to having something new in their mouth. This can slightly affect speech, but most patients find they adjust quickly, and it has minimal impact overall
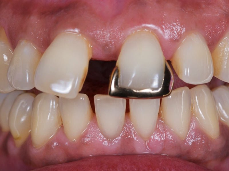
Patients who have mild to moderate crowding or protrusion of their front teeth could well be suitable for treatment with QuickStraightTeeth™. We can give you a consultation to find out what the best teeth straightening option would suit your needs.
For the best results with QuickStraightTeeth, ™ you should wear your aligners for at least 20 hours a day. This means taking them out only for eating, brushing, and flossing. The more you wear them, the faster you’ll see your new smile! We understand you might need to remove them for special occasions but put them back in as soon as possible to stay on track.
